Testimonials

Testimonials

Big Toe Joint Pain Defied Accurate Diagnosis Until Dr. Leavitt Summoned His Past Experience.

By Marcel H. Tremblay

When I first met Ken Leavitt I instantly felt comfortable with my choice of physicians. His professionalism and etiquette are readily balanced by a humble, friendly persona. He was only interested in improving the quality of my life, and thoroughly explained my condition and his planned cure in simple, direct language.

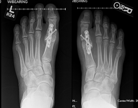
I suffered from Hallux Rigidus of the left metatarsaloflangeal joint, or, a really sore big toe, big joint. I had developed a slow but deliberate pain in my toe and had suffered with it for a few years before seeking a specialist's opinion. My primary care physician was convinced that it was an early bunion. He sent me to a local surgeon who performed a "scrape and flush "procedure on the bone spurs and gunk that had developed in the joint. It didn't help. They recommended trying a cortisone injection; only made it worse.

I did some research. Where are the best hospitals in the world? Boston (I live 50 miles west, so yes, I'm biased). Where do they specialize in orthopedic surgery? New England Baptist Hospital. Who does feet and only feet at New England Baptist? Dr. Kenneth Leavitt, DPM.

Dr. Leavitt recommended fusing the joint that had been ravaged by an active life and arthritis.

I was certainly uneasy at the prospect of fusing solid a flexible joint. Dr. Leavitt explained how the second joint takes up some of the slack, providing a bit of spring to the step. He assured me that my gait would be comfortable and natural.

I underwent the procedure and was amazed at how quick my recovery was. I scheduled it for early October so I would be ready for snow shoveling season. Within three month of my surgery I was wearing heavy work boots and working my full schedule again.

Two years later, in 2016, the pain in my other big toe had grown to the point that I knew what was going on. I wasn't going to put it off like I had on my left foot. Dr. Leavitt was again amazing, even making sure that my scars would match. This time Dr. Leavitt took my previous compliance as a good patient (please do as he says) into consideration and made some accomodations to my casting so I would have less muscle wasting. Just like last time, my recovery went well and on time. In a word: Incredible.

I will always remember the friendly and professional care by Ken Leavitt and his staff. My fondest memory was when I awoke from the second operation and he was there smiling and he said that he was happy for me. For the second time in as many years, he made me very happy as well.

Sincerely,

   Marcel H. Tremblay
    5/4/2017
    martremcheerful@yahoo.com



Dr. Leavitt's Comments

The diagnostic radiographs (X-rays) prior to the first surgery, did not indicate the extent of the actual pathology. This is sometimes the case, but thanks to extensive past experience, I was able to recognize the problem for what it was. Once inside the foot, we found that half the cartilage was gone. That wouldn't always show on the x-ray.