Testimonials

Testimonials

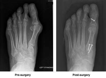
Bunion Surgery: Recovery Period Was Temporary - My Foot Is Permanent

By Gwen Irish

Dear Dr. Leavitt,

Of the nine people that I know who have had bunion surgery, I'm the only one who is 100% satisfied. There are two reasons.

The first is that I did my homework. I researched doctors in my area and met with a few of them. I chose you because I felt you had lots of experience and had an excellent reputation. Two of my neighbors highly recommended you. You were confident and assured me that my complex and difficult situation could be corrected by surgery so that walking, tennis and dancing would no longer be a problem and that I could look forward to these activities after my recovery.

The second reason is that I did everything you asked me to do. I guess one could say I was a model patient, but if I was going to go through surgery I wanted it to be as perfect as it could be and I knew the recovery process was largely up to me. So I kept my foot bandaged for the time you specified until I was able to take it off to wash. I did not put any weight on it until you told me to, and I faithfully did my exercises for the required time each day and for the amount of time needed to ensure I had the flexibility of my toes, foot and ankle.

The recovery period was temporary - my foot is permanent and I wanted it to be in the best possible condition it could be for the rest of my life.

There is a small framed cross stitch in your office that simply says, "Take care of my work." And I did. You put 100 per cent into the surgery and for the follow up care I was going to do my part 100 per cent. It was an excellent partnership - as it should be.

My foot is no longer something I want to hide because of the "walnut" on the side of my toe. Shoes fit easily, sandals look great, and the pain is gone.

Thank you.

Most sincerely,

Gwen Irish
July, 2010