Testimonials

Testimonials

Reposition Contractor's Collapsed Heel After Accident, And Restore Normal Mobility

By Bill Gagne

Dr. Leavitt is by far the best doctor I've ever dealt with. After splattering my left heel from an accident, unsuccessful surgery was performed by another doctor at a different hospital. My left foot was still pushed out to the side and looked deformed. One leg felt shorter than the other and my leg would discolor and swell when I walked. I was fitted for orthotics in my shoe and my foot would still slide and blister. I couldn't walk comfortably either barefooted or in shoes. Not good when you are a self-employed contractor.

I sought different opinions to see what my options were and was told that arthritis was an issue and they could do a triple arthrodesis but it would limit my mobility. Both were non-committal on repositioning my foot so that I could walk normally again.

I was given Dr. Leavitt's name from one of his patients in an online health board. I wasn't thrilled about travelling to Boston from NH but it was the best move I made. When he first looked at my foot, he said "this is a challenging one" and he wanted to work on the best route to follow before discussing more surgery. Once I heard the plan I decided to schedule surgery. Dr. Leavitt sent me an email on a Saturday just before the scheduled surgery and asked if I could get there the next day (Sunday) because he performed a similar surgery with great results and felt that some of his findings would work in my favor.

The proposal was to completely reposition my collapsed heel and limit the fusion to just one joint so that I can maintain mobility. Rehab put me out for a while but now I can wear shoes, walk straight, work, hike, snowshoe and exercise again. In my opinion, Dr. Leavitt is not only a cutting edge, top notch doctor but a dedicated craftsman who takes pride in and enjoys his work. As busy as his office is you'll feel like you are his only patient. Also the other doctors and staff at New England Baptist Hospital were excellent to deal with before, during and after surgery.

I don't give out many detailed testimonials but it's well deserved in this case. Similar to what you did for me, I've also mopped up a lot of messes in my business done by other contractors who had good intent but inexperienced. Patients may have to wait sometimes but there is no BS and every visit has a purpose and outcome. It's refreshing to me when you see that sort of dedication these days.

Feel free to use my full name and give anyone my number if they need to speak with someone who's gone through the same ordeal and need encouragement or whatever.

Bill Gagne
603-765-9350
bill@northwindconstructioninc.com



Dr. Leavitt's Comments

   

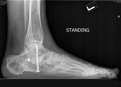
The pre-surgery x-ray from 2012 documents Bill's existing condition when he first visited Dr. Leavitt. It depicts a previous orthopedic surgeon's attempt to fix a calcaneal fracture. The plate was used to keep bone fragments together, but the surgeon was never able to restore the fragments to their correct position, and the plate was "banging" into the ankle bone. Between the arthritis that formed in the wake of surgery, the lack of restored height, and the metal on bone pain, Gagne was in severe pain.

I also wish to commend the other doctor involved in Bill's surgery, Dr. Hervey Kimball. One of the essential ingredients in the surgery was the use of a piece of Bill's hip, which did many wonderful things including giving Bill back height, repositioning the heel and fusing the joint thus stopping the pain. Dr. Kimball is a hand surgeon who is often called upon to take pieces of the hip to be used in joint fusions in the foot and hand. He was kind and meticulous and Bill's hip hurt very little after the surgery. -- Dr. Ken Leavitt