Testimonials

Testimonials

Health Professional

"I'm encouraged to know that I will be able to walk straight again."

By Leticia Hermosa

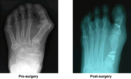
I would like to thank Dr. Leavitt tremendously for the wonderful surgery he did on my foot. He is such an expert surgeon coupled with human touch and professionalism. I'm fortunate to have him as my surgeon, and it is encouraging to know that I will be able to walk straight again in due time. And I appreciate that he sent me those x-rays... How interesting to see what's actually inside my little foot.

I'm back to work for the first time post-surgery today. Was able to drive myself safely and was given a parking spot right by the entrance, so I only had few steps to walk to go into my office. Walking with crutches is such a challenge, but at least it's temporary. It gets better everyday. Again thank you very much for everything.



   Leticia C. Hermosa, JD, PhD, RN
    lchermosa@msn.com