Testimonials

Testimonials

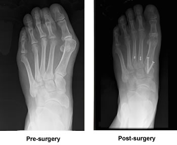
Marathoner Resumes Running after his Bunion/Hammertoe Surgery

By Jamaica Plain

My condition was quite painful. Three toes on my left foot were dislocated. The large toe had dislocated due to the bunion pulling the adjacent bones apart. The second and third toes had dislocated in what would be classified as 'hammer' toes where the metatarsal bones then slid under the toes themselves making even normal walking painful. The surgery itself was a blur and over in a matter of hours. I was home in bed that afternoon.

The cast was on my leg from July 3rd to September 10. It was not a walking cast because I could not put any pressure on that foot. I succeeded in not walking on my foot as Dr. Leavitt requested. I was able to get around on either crutches or a knee walker that was the easiest way to get around, especially when I returned to work after about 10 days of rest. I was able to drive at that time since the surgery was on my left foot. After the cast came off I began physical therapy for a few months to rebuild the strength in my foot through various foot and leg exercises.

I probably ran my first treadmill 5k (3.1 miles) 5 months after surgery in November 2014 and then was able to work back into my normal running schedule of 5-10 outdoor miles a week the following spring. This October, 2015, 15 months post-surgery, I ran and completed the Boston Athletic Association '1/2 Marathon (13.1 miles). Thank you, Dr. Leavitt, for your skill and efforts, they are most appreciated.

   Steven Parker
   Jamaica Plain, MA 02130
   mohacks@me.com