Testimonials

Testimonials

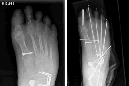
Osteogenesis Imperfecta

"I had to leave three jobs in past year due to daily severe foot pain"

By Rick Carmel

At 28 and already having sixteen surgical procedures behind me, life was not going as I had planned. I had left three jobs in the last year, one which I really loved, all because of the severe foot pain that I lived with everyday. The cause of the pain made a solution especially difficult. I had a congenital neuropathy called, Charcot Marie Tooth Disease, and a bone disease known as, Osteogenesis Imperfecta, along with many serious injuries over the past ten years making mine an especially complicated case. My body felt much older than it's young looks betrayed.

I was referred to Doctor Leavitt at the very beginning of 2008. When I met Dr. Leavitt for the first time I left knowing two things. First, my case would be difficult and even impossible for most surgeons (in fact many doctor's in the past refused to operate on me because of the complicated nature of my case). Second, Dr. Leavitt was the right man. I've never left a consultation feeling both so overwhelmed at what was in store for me in terms of pain, recovery, and rehab and yet so at ease that I was in the most capable hands. To say Dr. Leavitt is thorough would be an understatement. In fact, I had four visits in the month leading up to my surgery and I even received a phone call on a Sunday afternoon from Dr. Leavitt to confirm something he was working on at home. I took comfort knowing that I was going into a situation that had been planned out down to every detail and every contingency was accounted for. Simply put, Doctor Leavitt is the most accessible and capable doctor I have ever met.

Surgery was completed March 6th and now, all things considered, I feel great. Dr. Leavitt is simply amazed at how quickly I am healing and I am amazed at how quickly my foot is starting to feel more like a normal foot should. Everybody knows doctors save lives but rarely do we think of podiatrists as the same type of glorified life-saving doctors American television and cinema makes into the ultimate heroes everyday. But Dr. Leavitt saves lives. Maybe you can't quite understand that until your feet hurt everyday all day long or until the dream job you've wanted is just out of grasp because of a congenital foot abnormality. But, if like me, and hundreds of others whom he has helped, you have these types of problems that no other doctor can fix-then you do understand. Doctor Leavitt changes lives and he saves lives.

   Rick Carmel
    apollorjc@aim.com