Testimonials

Testimonials

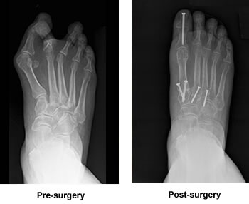
Surgery Avoids Hammertoe Amputation

By Susan Flora Olney

I have had deformed feet for many years now. I took toe dancing lessons at age 2, and was on my feet teaching for 34 years, life took it's toll. We seem to get used to our feet as long as we can buy wider shoes and find gel cushioners to help us.

In January 2013, I saw a podiatrist who spoke of amputating my hammer toe. Lucky for me a close friend implored me to see Dr. Leavitt.

As soon as I met Dr. Leavitt, I was at ease. He loves a challenge and my foot was a major one. He was sure he could help me but he made it clear that I had to be ready for non-weight bearing for at least 8 weeks. Before surgery I acquired a seated scooter (http://www.goodbyecrutches.com/) and a kneeler, a wheelchair, and a stair lift. The scooter was the best for me because crutches were not. It gave me such freedom after surgery!

On May 8, 2014, I drove to surgery knowing that I wouldn't be in that seat for at least 3 months. On July 8, I was cast free. I held my breath as Dr. Leavitt said, "You know what? You are 100% healed!" I just stared at my beautiful straight-toed foot. I do this often as I am in awe of what it is now.

Today is August 19th, I have driven for the first time in the past week. Each day I walk a little better. I have been doing PT for a month and will continue. I cannot stress how important it is to repeat at home daily. You will be stronger, faster.

I will have no fear when it is time for Dr. Leavitt to repair my other foot. He is a perfectionist and an artist and must love puzzles because he sure can put things back together correctly!

If you are ready for your surgery, I wish you a pleasant experience.

   Susan Flora Olney
   Oxford, MA
   olneygirls2@verizon.net