Testimonials

Testimonials

A Second Opinion Prompts a Successful Third Bunionectomy

"I used to joke that I was born with my Grandmother's feet. But when they were killing me, it wasn't so funny."

By Eve Lippold

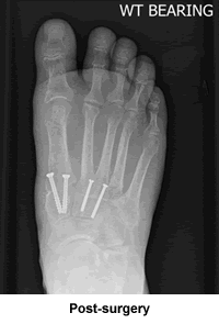
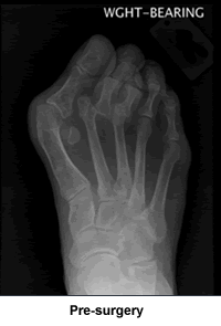
My right foot has been particularly problematic since I was six years old. It took two bunionectomies before that particular issue was finally resolved, and all was tolerably well until a year ago. The right foot once again reared its ugly (and I do mean ugly) head and began giving me all kinds of pain and discomfort. The orthopedic surgeon who had performed my second bunionectomy ordered a set of radiographs. When he saw what was happening he sent me to New England Baptist to see Dr. Leavitt. Dr. Leavitt was very impressed (from a medical science standpoint) and sympathetic (from a humanistic standpoint) as we looked at the x-rays and discussed what was happening to the bones. While not downplaying the inconvenience that I would go through, he confidently explained what he would be doing in surgery and how he had no doubt the problems would be resolved to my satisfaction. He came to see me right before and after the surgery, kind, upbeat, and optimistic. This was very reassuring, both to my husband and me.

Once I had the cast off I was amazed at how straight my toes (which had been wandering all over the place) were. I can now use my big toe for a ruler if I have to! Ten weeks later and the scars are fading, the discomfort is negligible, and the swelling is almost gone. Even though at the time of this writing I am still going through physical therapy, there is no doubt in my mind that it has all been worth it.

My left foot has been quietly undergoing some architectural changes in recent months. No pain yet, but it's just a matter of time. And when that day comes, I know whom I'm going to call. Dr. Leavitt, thank you for being a terrific doctor and a terrific person.

Sincerely, Eve Lippold
July 3, 2011