By David on the Cape
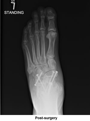
It's been approximately seven and one half months since you performed triple arthrodesis on my left foot and the results of that surgery have given me back a big part of my life that has been missing for many years, now being able to walk, jump and put all sorts of stress on the foot without any pain. I just bought a pair of sandals that gives one about zero support on the ankle; I hadn't been able to wear sandals for over thirty years. I can also now walk barefoot on lumpy sandy beaches here on the Cape and the list goes on!
Problems Date to 1967
Back in about 1967 I was doing a lot of noontime running of 3 - 5 miles around the bridges over the Charles River from my work place at MIT's Instrumentation Laboratory. One day I went to a noontime softball game and played catcher. A man running to home plate wiped me out. Both his feet hit my left ankle and fractured both the tibia and fibular; surgery was performed successfully at Mt. Auburn Hospital.
A year later I started running again and at some point started getting some pain in the ankle that had been broken. Whenever I ran there would initially be some pain but as I continued to get warmed up running the pain would essentially go away. Finally after running over 100 road races and exactly 12 marathons, I was in a 15 mile race the ankle developed pain that would not go away while running; this would have been early in 1978. I had a number for the 1978 Boston marathon but was unable to use it.
The orthopedic surgeon told me not to run again. When walking started to be painful too, the surgeon suggested a fusion of the Tibia and the Talus. The first surgery was unsuccessful but the second surgery was successful and it was great to have a pain free ankle.
Tried Running Again in 1994
In 1994 after I moved to Cape Cod, my internist told me that he didn't see why I could not run with the fusion since he also had a foot fusion and was a runner. I would go to the high school track and run -- slowly one half a lap and then walk one half a lap. I continued doing this until my mile times were up to 8-minute miles. After a few short races I started getting pain again, so I gave up running completely again. The pain increased just with normal activities and reached the point where I needed more surgery.

Spotted Ad in Cape Cod Times
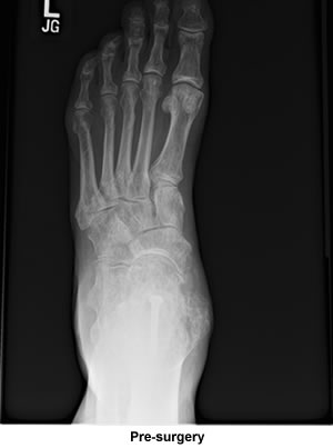
I was all set to have the surgery done elsewhere on just one joint. Casually looking through the Cape Cod Times and spotting your ad for surgery on all sorts of foot problems and stating you were also available for consultation at your office in Bourne immediately convinced me to visit you as I did have some reservations about the surgery I was about to have. I figured that you would confirm that surgery, but that was not the case; you told me three joints were gone and needed fusions. You sent me a very convincing email and also fit me into your surgery schedule much sooner than normally would be expected because of your full workload. I just can't thank you enough for what your surgery has done for me.
David
Age 86