Common Foot and Ankle Disorders

Bunion Deformity

Description

Bunion DeformityOne of the more common conditions treated by podiatric surgeons is the painful bunion, i.e. a painful bump on the inside and base of the big toe together with a crooked big toe. Patients with this condition will usually complain of pain when wearing certain shoes, especially snug fitting dress shoes, or with physical activity, such as walking or running. There are several surgical procedures to correct bunions. Selection of the most appropriate procedure for each patient requires a thorough examination of the patient and a review of weight-bearing x-rays of the foot. All surgical procedures require cutting and repositioning the first metatarsal, and sometimes the bones of the big toe itself.

Sometimes people develop a "stiff", swollen and painful big toe joint which they often call a bunion deformity. The medical term for this condition is Hallux Limitus/Hallux Rigidus. (Also see condition Hallux Limitis/Hallux Rigidus) As the medical terms allude to, the joint's motion is limited and or the joint seems rigid or "frozen". There is often enlargement of the bone around the joint, especially on the top of the joint, which people call the "bunion", or in some medical circles, a DORSAL BUNION. This condition usually means that the joint is very arthritic and will have to be replaced. More on this condition in a moment.

BunionsAnother type of "bunion" is a "Tailor's Bunion" or "Bunionette". This is a painful prominence on the outside of the foot at the base of the 5th toe. Just as with Hallux Abducto Valgus, the cause is a deviation, in this case a deviation of the 5th toe, exposing the 5th metatarsal head to irritation. Treatment involves the removal of prominent bone and realignment of the joint and most often of the 5th metatarsal bone as well.

Cause of Bunion Deformity

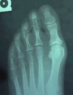
The classic bunion, medically known as Hallux Abducto Valgus or HAV, is a bump on the side of the great toe joint. This bump represents a thickening of the joint tissues and the underlying bone on the inside of the metatarsal head, the bone that joins the big toe at its base. In addition, there is also deviation of the great toe toward the second toe. In severe cases, the great toe can either lie above or below the second toe. Shoes are often blamed for creating these problems. This, however, is inaccurate; In places where people do not wear shoes, the statistical chance of a crooked big toe is the same.

Bunions develop from abnormal foot structure and poor mechanics of the foot. This leads to stretching of supporting soft tissue structures such as joint capsules and ligaments with the end result being gradual deviation and dislocation of the big toe, which then pushes back against the 1st metatarsal head making it stick-out. As this deformity increases, there is an abnormal pull of certain tendons, which leads to the drifting of the great toe toward the 2nd toe more-and-more. This cycle continues until the big toe almost completely dislocates off of the 1st metatarsal head.

DORSAL BUNION: When the big toe joint becomes stiff, rigid and painful, it is either because of crush injury to the joint because of an accident such as a sports injury, or because of repetitive daily low level trauma (due to inherited mechanical problems) that slowly wears-away at the joint's cartilage. In either case, when this condition has developed to the point where there is reactive bone formation (the increase in bone around the joint together with stiffness and pain), corrective measures must be taken to correct poor mechanics, or the joint must be replaced if the condition has been present for many years.

Symptoms Related to Bunion Deformity

The most common symptoms associated with the usual bunion deformity are pain on the side of the foot at the base of the big toe, and or pain deep inside the joint caused by the progressive dislocation of the joint and damage to joint tissues. Shoes will typically aggravate bunions. Stiff leather shoes or shoes with a tapered toe box are the prime offenders. This is why bunion pain is most common in women whose shoes have a pointed toe box. The bunion site will often be slightly swollen and red from the constant rubbing and irritation of a shoe due to inflammation from the development of a sac of fluid over the bunion called a bursa.

Symptoms associated with Hallux Rigidus/Hallux Limitus/Dorsal Bunion, are inability to move the big toe joint together with pain upon movement. Some people also have difficulties finding shoes that fit comfortably.

Treatment of Bunion Deformity

Early treatment of all bunions is centered on providing symptomatic relief. Switching to a shoe with a rounder, deeper toe box and made of a softer more pliable leather will often provide immediate relief. When these conservative measures fail to provided adequate relief, surgical correction is indicated. The choice of surgical procedures is based on a biomechanical and radiographic examination of the foot. Because there is structural malalignment of bones and joint(s), successful correction can only be achieved cutting and realignment of bone(s) and soft tissues. Simply "shaving the bump" is grossly inadequate in providing correction and in will almost always cause the bunion to remain and then actually become worse. There is no "common" or best type of procedure(s). Each person's foot is special. The surgeon must simply be able to perform whatever procedure or combination is necessary to do the very best job. Bones that are cut and realigned are held-in-place by screws and soft-tissues are sutured in place. 50% of patients will be able to bear some weight on their foot after surgery while the other 50% will have to use crutches for 6 to 8 weeks.

Treatment of Hallux Limitus/Hallux Rigidus/Dorsal Bunion can involve the cutting and realignment of bone and "cleaning" the big toe joint of reactive bone and more often replacement of the joint if the condition has been present for many years.